Когато пеете или просто виете с музикални намерения под душа, едва ли се замисляте как точно произвеждате звуците, които щедро споделяте със скъпите си съседи. И ние не го правим, просто се отдаваме на универсалния за почти всички човешки създания порив.
Днес обаче ще влезем в ролята на съседа от горния етаж и не само ще чуем, но и ще видим заедно една песен. Не можем да ви гарантираме, че чутото ще ви допадне, но гледката със сигурност ще ви заинтригува. Парчето е в изпълнение на английския артист Sivu и видеото към него е вдъхновено от грижите, които лондонската болница St. Bartholomew полага за децата с вродени цепки на горната устна и/или небцето (т.нар. заешка устна и вълча уста).
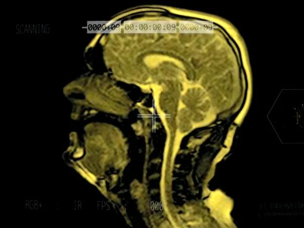
За заснемането му музикантът прекарва близо три часа пеейки в легнало положение в машина за ядрено-магнитен резонанс. Благодарение на това, можем да видим какво се случва в главата и най-вече – в устния апарат на един човек, докато пее.
Съществуват някои твърдения, че заснемането на този клип може да е увредило здравето на Sivu, но засега официалното становище е, че тъй като ЯМР не излъчва йонизиращо лъчение, сериозен риск от заболяване не съществува. Ние само можем да стискаме палци, че е така, защото би било жалко музикалната професия да се сдобие с поредния вреден навик :)


Добави коментар